






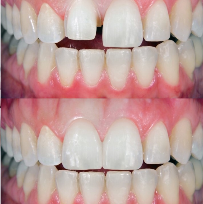
Veneers are used to correct the alignment of teeth and improve your smile. If you have issues with tooth alignment, or you have chipped teeth, you will notice a great difference in your smile before and after using dental veneers.
Dental veneers are predominantly made of thin-shell porcelain or ceramic. They are bonded to the front of your teeth, and they look completely natural.

You can notice the following benefits after using dental veneers, depending on the issue you had been suffering from.
Damaged teeth can be detrimental to your oral health. A fractured tooth could become the breeding of bacteria, seriously compromising your oral hygiene. Bacteria could lead to cavities in the broken tooth and could eat right down to the roots, eventually causing severe pain and tooth decay.
A veneer will sit firmly over the cracked or broken tooth and seal all the gaps, preventing bacteria from penetrating the tooth. It will drastically reduce the chances of any kind of infection from a broken tooth.
Tooth discoloration can affect your smile to a large extent. If staining of the tooth enamel prevents you from flashing a bright and beautiful smile, then it is time to get a veneer.
Extrinsic staining can be caused due to the constant consumption of tea, coffee, alcohol, or even due to smoking. Bleaching is not a permanent solution and could harm your teeth in other ways.
On the other hand, intrinsic staining could be a result of dentin discoloration, which is a tissue beneath the enamel. In both cases, your teeth could start turning yellowish or dark and your smile will lose its whiteness.
Porcelain veneers will cover the discolored teeth. The overlay will improve the teeth color and will enhance your natural smile

Covering misaligned teeth
Misaligned teeth could be a birth defect, or an accident could have caused your teeth to smash and lose their natural setting.
Many people try to use braces to push back their teeth and regain the former alignment, but this is painful as well as time-consuming. Even then, there is no possibility if the braces would work.
Veneers eliminate the need for braces and they sit snugly over the misaligned teeth, giving the straight and perfectly set appearance your teeth deserve. Properly aligned teeth are easier to brush and reduce the chances of infection.
The tooth enamel is delicate and it could corrode if you use aggressive brushing techniques or you consume acidic food regularly.
Tooth erosion will leave you with weak teeth and you will suffer from teeth sensitivity – that acute tingling sensation that prevents you from eating anything hot, cold, or sour. If your natural tooth enamel is lost, it can never be replaced.
However, veneers can cover your teeth just as well, and it will remarkably reduce the discomfort you face because of the loss of tooth enamel. It will form a protective layer on your teeth and prevent further enamel loss or tooth decay.
The biggest reason for which most people use veneers is to enhance teeth appearance. Your teeth will look whiter, and brighter, and that automatically increases your confidence and brings out your confidence.
You will have a stronger personality, automatically making you more outgoing and bringing you closer to people. It can work wonders for your social life if you were hiding for so long due to an imperfect smile
Dental veneers are slowly becoming popular because they can take care of several dental issues at once.
Here are some reasons why you should seriously consider veneers if you are suffering from tooth problems.
1. Durable: Veneers are very durable, both the porcelain and the ceramic ones. They last much longer than the composite fillings traditionally used to fill gaps in teeth.
If you install veneers once, you won’t have to worry about them for years to come. There’s just an occasional visit to the dentist from time to time.
Just take care of some basic aspects like not brushing your teeth too aggressively, or not consuming highly acidic food. Then your veneers could last for ten to fifteen years, or even longer.
2. Easy to Maintain: You do not have to take any special care of your veneers, or invest extra time or money. You can brush and floss regularly.
Over time, you will forget that you have veneers because they look and feel like your natural teeth. Just not use very harsh brushes and all should be well.
3. Easy to Get Fitted: Getting fitted with dental veneers is a far simpler process than most other complex cosmetic dentistry procedures some patients go through.
Your complete veneer setting would be complete in four to five sittings, over a course of four weeks or so.
The veneers are made to match the shape and size of your mouth so that the result is flawless and natural. It is also more economical than most other cosmetic procedures.
If you have misaligned, broken, or discolored teeth, then go ahead and make an appointment with your dentistto get fitted with a dental veneer. You will be amazed at the transformation after you have been fitted and your life after veneers will be so much more exciting than it was ever before.
Back to Blog"5 Star Treatment – you made my wife smile, Thank you."
Mr R. McDonald, Kettering Northants
Read More"Natural Smiles affords one of the most pleasant visits to a dentist you will…
Mr. D. Sobey, Kettering Northants
Read More"Excellent service! Pain-free treatments, staff put me at ease. Very good experience."
Miss K. Hudson, Geddington Northants
Read More"Job well done… Looking forward to having some relaxing treatments."
Mr. T. Stonestreet Leicester
Read More"Lovely surroundings, really a nice place, very kind and pleasant staff."
Mrs K. Burgess Corby Northants
Read More"Never had such an informative, relaxed and pain-free dental appointment before, well done to…
Mr J. O'flynn Market Harborough, Leicester
Read More"Excellent!! Makes coming to the dentist a pleasure. Will recommend you to everyone I…
Mrs J. Gallagher, Corby Northants
Read More"Excellent, attentive Dentist and staff. Not as expensive as I was expecting. 'A pleasant…
Mr D. Hunt, Corby Northants
Read More"I just wanted to let you know how pleased I am with the results…
Mrs E. Elliston, Corby Northants
Read More"Made you feel very relaxed, and my treatment very helpful and informative. Nice friendly…
Mrs K. Winters, Corby Northants
Read More"From the minute I walked into Natural Smiles I felt very at home, from…
Mrs Bromfield, Leicester
Read More"I am coming back next time, a brilliant time at the dentist!"
K Mcphie (12), Corby Northantsa
Read More"Lovely relaxing environment – very comfortable. I appreciate having everything explained. Thank you very…
Mrs L. Cox, Corby Northants
Read More"Wonderful treatment with a great end result – very well-fitting and attractive dentures. Thank…
Mr M. Bullock, Northampton
Read More"Very relaxing atmosphere! Fantastic service and treatment. I will definitely be back!"
Miss P. Jones, Milton Keynes
Read More"Fantastic Facilities, Fantastic Place, Fantastic Staff, Fantastic Treatment, what more do you need or…
Mr and Mrs P. Barton, Stanion Northants
Read More"I met Dr Waghela for the first time on a Saturday at around 9…
Mrs.D. Borton, Cranford Northants
Read More"Natural Smiles is a pleasure to visit right from the tranquil surrounds as you…
Mrs H. Kendall, Corby Northants
Read More"Thank you for the excellent care received from you and your team, whilst undergoing…
Mrs S. Morris, Oundle Peterborough
Read MoreI have written a few words regarding the treatment I received at Natural Smiles…
Mrs J. Lansberry, Corby Northants
Read MoreTreatments, Service and surroundings at Natural Smiles are first class. Relaxing and Stylish, I…
Mrs R. Dopson, Corby Northants
Read More"I never enjoyed going to the dentist, but I didn't like my teeth or…
Mrs S. Cottrell, Rothwell Northants
Read More"I have been under the care of Dr Waghela since he arrived in the…
Mr L. Gagrica, Corby Northants
Read More"Fantastic treatments and so welcoming would definitely recommend to my friends and family. Carol…
Mrs W. Finlayson, Corby Northants
Read More"I really liked the T.V. on the roof because it had X-Men on it…
H Featherstone (12), Geddington Northants
Read MoreIt has been ten years since I discovered Natural smiles. Without a doubt, the…
D Sobey, Corby Northants
Read MoreAs many people know, your teeth are everyone's focal point. I was ashamed of…
A Baseley, Corby Northants
Read MoreIn April 2020 I was referred to Dr Bhavnish Waghela at Natural Smiles because…
Chris M, Corby Northants
Read MoreNatural Smiles have been amazing for me, I was so nervous at my first…
Merrilie Mclean, Corby Northants
Read MoreI came to the practice to have dental implants to replace missing teeth lost…
S Smith, Corby Northants
Read MoreAmazing staff and customer service! They listen very carefully to your concerns and are…
P Kaur, Leicester
Read MoreAfter the first call and consultation I felt instantly reassured that I’d chosen the…
S Barden, Leicester
Read MoreWould recommend this dentist to anyone who’s thinking about going, they honestly were the…
R Anderson-Stretton, Leicester
Read MoreMy initial consultation was a couple of years ago before Covid began so my…
R Salt, Leicester
Read MoreAfter years of having an uneven smile and consultations with different dental practices, I…
N Bhayani, Leicester
Read More
19 Stanion Lane, Corby, Northamptonshire, NN18 8ES
264-266 Leicester Road, Wigston, Leicester, LE18 1HQ